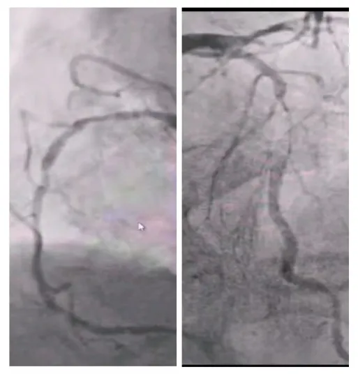
2025年深秋的一个清晨,82岁的马奶奶(化名)因持续胸闷气短被家人送至医院心内科。心脏超声检查显示,她的左心房内有一个直径近5厘米的肿瘤,随心跳规律摆动,如同一个随时可能破裂的“不定时炸弹”。更危急的是,冠脉造影进一步揭示其冠状动脉多支血管严重狭窄,左前降支狭窄达95%,回旋支中段完全闭塞,右冠状动脉弥漫性病变—两种致命性心脏疾病的叠加,让这位高龄患者的生命岌岌可危。
“肿瘤质地极脆,脱落可能导致脑梗或肺栓塞;而冠脉狭窄随时可能引发急性心梗。”心内科团队立即启动多学科会诊,心脏外科专家在评估后指出,传统杂交手术无法同时解除双重风险,一场高难度的开胸联合手术成为唯一选择。

术前超声

术前冠脉造影
跨越三重难关的术前准备
面对82岁高龄、器官功能退化、双重心脏疾患的三重挑战,医疗团队展开了周密的术前部署。麻醉科针对患者肝肾功能减退的特点,设计了“阶梯式麻醉方案”,将血管活性药物剂量精确到0.1微克/公斤;体外循环团队反复演练心肌保护液灌注流程,确保心脏停跳期间全身器官氧供;重症监护团队提前调试好床旁超声和血液净化设备,制定了包含23项监测指标的术后护理计划。
“老年患者心脏停跳时间每延长1分钟,术后并发症风险增加7%。”手术团队在术前讨论中达成共识,必须将转机时间控制在150分钟内,同时确保肿瘤完整切除和血管精准吻合。
四小时手术台上的生命接力
手术当日8时30分,麻醉诱导平稳完成。在经食道超声实时监测下,体外循环管路顺利建立,心脏在低温停跳下显露术野。主刀医生采用“无接触技术”沿瘤体蒂部完整剥离肿瘤组织,避免碎片脱落;随后选取左侧乳内动脉吻合前降支,大隐静脉序贯吻合钝缘支与后降支,完成三支血管重建。125分钟的转机时间里,麻醉师全程维持平均动脉压在65-75mmHg,体外循环师精准调控流量至2.4L/min/m²。
当除颤器发出“嘀嘀”声后,心脏重新恢复自主节律,监护仪上规律的波形让手术室团队松了口气。术后第三天,马奶奶已能自主进食并清晰对话,转出ICU时,她握着护士的手轻声说:“没想到还能看见太阳升起。”

术后超声

病理诊断
医学协作创造生命奇迹
术后病理显示,患者左房肿瘤为良性黏液瘤,完整切除后无需后续治疗。经过10天的康复治疗,老人顺利出院。这一案例中,多学科团队通过术前风险分层、术中精密协作、术后个体化护理,为高龄复杂心脏疾病患者的救治积累了临床经验。
“老年心脏手术的成功,关键在于团队对风险的预判和应对。”参与手术的心脏外科专家表示,随着人口老龄化加剧,类似病例将逐年增多,此次多学科协作模式为破解高龄患者手术禁区提供了实践参考。(武小刚)
责编:赵鹏
编辑:汪欣阳
