生死一线:后循环闭塞,生命中枢告急
后循环闭塞(椎基底动脉系统)是急性脑梗死中致死率最高的类型,死亡率高达90%,患者常因脑干、小脑缺血出现呼吸骤停、昏迷或严重瘫痪。随着急诊取栓技术的突破,这一“生命禁区”正被不断改写——发病24小时内接受取栓治疗,患者90天独立生活能力显著提升,死亡率降低近50%。

近日,42岁的张先生因突发头晕、右手无力、视物模糊10小时,意识不清10分钟,被家属发现后紧急送至宝鸡市人民医院急诊科,考虑脑卒中收入神经内三科进一步治疗,到达科室后患者已神志不清,且伴有呼吸浅快,大小便不能自控。NIHSS评分35分,mrs评分4分;行头颅DWI提示左侧颞枕叶、左侧丘脑急性脑梗死;颅脑MRA提示右侧大脑后及小脑上动脉未见显影,左侧大脑后动脉P1段明显变细,远端闭塞。
精湛技艺:微创取栓,打通“生命要道”
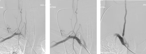
为最大程度抢救脑细胞,缩短脑组织供血恢复间隔,神经内三科卒中救治团队立即启动绿色通道实施介入取栓治疗,麻醉医师迅速抵达导管室,神经内三科主任席聪对患者进行急诊血管造影后发现:患者左椎动脉起始段闭塞,右椎动脉起始部次全闭塞。

时间就是大脑!在与病人家属充分沟通后,神经内三科介入团队对患者进行了全麻下:颅内动脉取栓术+颅内动脉球囊扩张+椎动脉扩张+椎动脉支架植入术。
术中,介入团队精准定位血管闭塞部位,通过微导丝“探路”联合球囊扩张技术开通右侧椎动脉开口,造影椎开口残余狭窄60%。基底动脉血栓形成,基底动脉管腔狭窄55%,基底动脉尖堵塞,右侧大脑后动脉及小脑上动脉未见显影,左侧大脑后动脉P3以远闭塞。
席聪准确锁定患者基底动脉处血栓,采用抽吸取栓技术快速开通血管,成功取出堵塞部位2cm的血栓。再次造影示:右侧大脑后及双侧小脑上动脉再通,右侧大脑后动脉P3段以远闭塞,考虑慢性闭塞,推注替罗非班,血流明显加快。随后采用支架植入术开通右侧椎动脉开口处,术中影像显示:支架贴壁良好,无明显残余狭窄,颅内血管显影良好。

术后,患者症状明显好转,神志清楚,右手无力、视物模糊症状明显改善,术后24 小时可下床活动,NIHSS评分1分,mRS评分2分。
重获新生:康复良好,彰显技术实力
该患者在复杂状况下取栓的成功,是宝鸡市人民医院卒中中心技术实力的一次“硬核”展现。面对术中复杂状况,神经内三科介入团队凭借精准判断、专业技术与密切配合,为手术成功提供了关键保障。
席聪主任医师提醒,突发头晕、言语不清、肢体无力神志意识不清等症状时,应高度怀疑脑卒中,需立即拨打120。及时送至具备溶栓、取栓能力的卒中中心,以争取最佳治疗时机。(供稿:宝鸡市人民医院)
责编:赵鹏
编辑:王晴之
